Clear aligner treatment for straighter teeth with a discreet look and flexible daily wear.

An Invisalign dentist in Aventura, FL helps patients straighten teeth with clear aligners that are easy to wear and remove. This treatment is popular with adults and teens who want a lower-profile way to improve crowding, gaps, or bite problems. The aligners are made to fit your teeth and move them in small steps over time. If you have been comparing options like Invisalign vs Traditional Braces, a consultation can help you decide which path fits your goals and daily routine.
The process of receiving Invisalign trays usually takes around four weeks. Once we take impressions or scans of the patient's teeth, we must send them to the Invisalign factory with notes about how the treatment should progress. Then, the factory will determine the optimal amount of trays and send the specifications back to us.
We will make any necessary modifications and then email the changes to the factory. Once implemented, the factory will create the trays, and lab technicians trim each one individually to match the patient's gumline. Although there is a waiting period before a patient can begin treatment, this process ensures that the treatment process will be effective and comfortable.
People who are interested in Invisalign treatment should conduct thorough research to find the right Invisalign dentist. It is crucial to find a skilled and reliable dentist since the provider will dictate the quality of treatment results. People should research the dentist's education, training, and certifications to ensure that they have the right experience and knowledge.
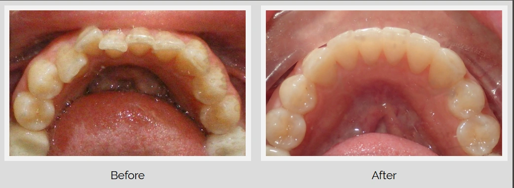
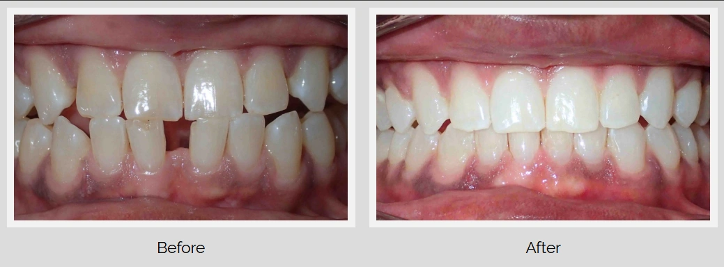
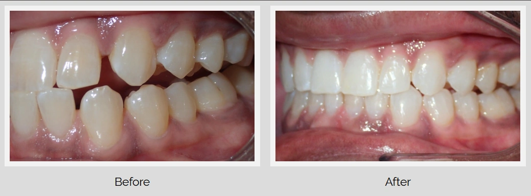
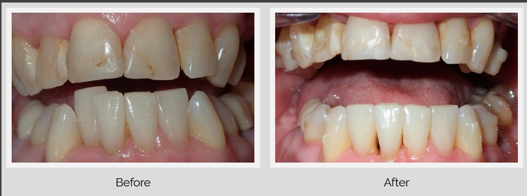
It is also helpful to look at reviews and before and after photos to see if the results align with their orthodontic goals. During the consultation, people should ask the right questions regarding the treatment process, results, and concerns. The right Invisalign provider will also genuinely care for their patient's oral health. Our team works with each patient to create a personalized treatment plan for their needs and goals.
Your first visit includes an exam, photos or scans, and a talk about your smile goals. If Invisalign is a fit, we map out the movement of your teeth and create a series of aligners for each stage. You wear each set as directed and switch to the next set after a set period. Check-ins let us track progress and make changes if needed. The process works best when you wear the trays consistently. Patients near Golden Beach, FL and Sunny Isles Beach, FL often choose this path because it fits work, school, and social life with less visibility than braces.
Here’s why Invisalign stands out for many patients: it straightens teeth with a discreet look and a clear plan from start to finish. If you want a cleaner, more even smile without brackets and wires, book an Invisalign dentist visit in Aventura, FL. We can review your smile, answer questions, and help you move ahead with confidence.




At Aventura Dental Center, we prioritize your dental health. Contact us for comprehensive dental services tailored to your needs. Our experienced team is ready to assist you in Aventura, FL.
Phone
(305) 677-0511