Custom smile makeover plans that bring together cosmetic and restorative care for a brighter look.

A Smile Makeover is a custom plan that blends cosmetic and restorative dental care to improve the look, feel, and function of your smile. At Aventura Dental Center, the plan may include services such as Dental Veneers and Dental Laminates, Professional Teeth Whitening, Composite Fillings, or even Dental Crowns and Dental Bridges, depending on your goals. If you live near Aventura Mall or spend time around the local neighborhood, you can stop in for a smile plan built around your schedule and your teeth.
The procedures in a smile makeover require regular oral hygiene care and may need maintenance over time. For example, teeth whitening is not a permanent treatment. Patients will need touch-up treatments to maintain their results. While it is always important to practice good oral hygiene, it is especially important after a smile makeover.
Proper maintenance and care will help prevent future dental issues and previous problems from reappearing. Our team will provide patients with tips and instructions on how to maintain their new smile after. Tips for maintaining a newly restored smile include brushing and flossing multiple times daily and visiting the dentist for professional cleanings on a regular basis. Certain procedures require special care, so it is important to follow the instructions precisely.
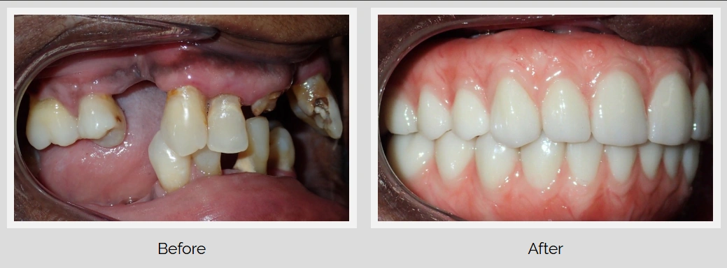
After examining the patient's teeth, we will develop a customized treatment plan to address their unique needs. Smile makeovers involve a minimum of two procedures. There are numerous treatment options to choose from depending on the patient's issues.
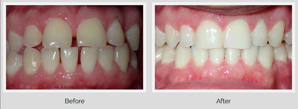
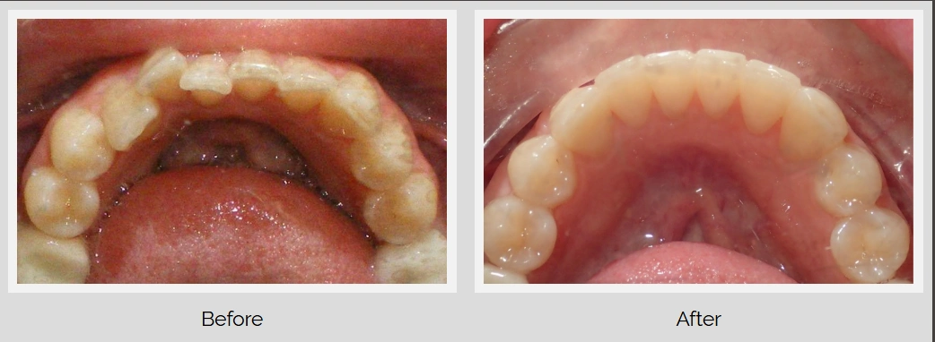
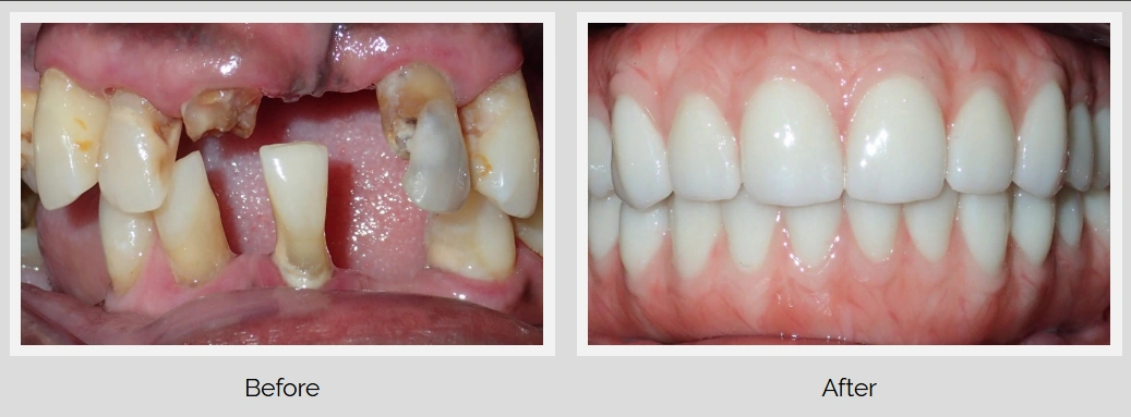
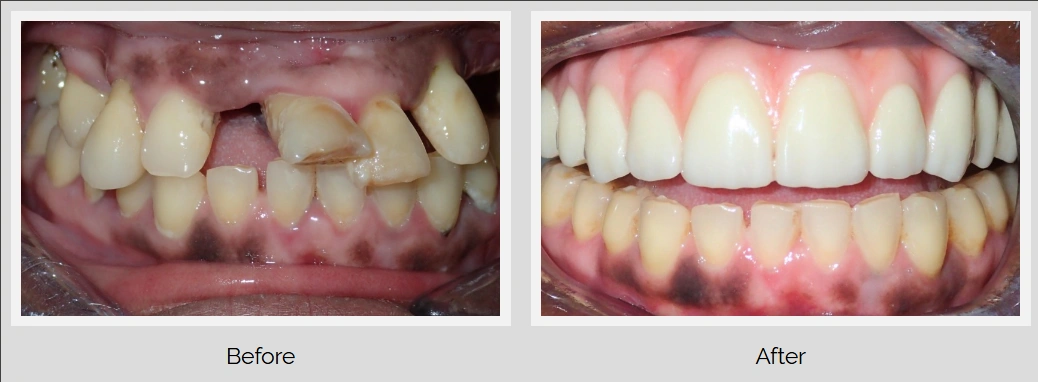
Some of the most common dental treatments include veneers, bonding, implants, teeth whitening, crowns, and bridges. People who are interested in receiving a smile makeover should contact us to learn about the available options. A smile makeover can correct various cosmetic issues, such as gaps, stains, and crooked, missing, or uneven teeth. We provide comprehensive and custom treatments to help smiles look their best.
Your visit starts with a detailed exam and a conversation about what you want to change. We look at tooth shade, bite, gum shape, and the health of every tooth before suggesting a plan. Some patients want a small cosmetic refresh. Others want a full smile redesign with several treatments layered over time. Here’s why that matters: a good smile plan should do more than look nice for one day. It should also support long-term oral health and function.
After the exam, we map out the steps in a clear order. That may begin with cleaning and whitening, then move to veneers, bonding, crowns, or tooth replacement if needed. If you have bite concerns or missing teeth, we may also talk about Dental Implants or Dentures and Partial Dentures as part of the overall plan. Every step is explained in plain language so you know what comes next.
If you are ready to improve your smile, book a visit with Aventura Dental Center. Call call us or email us to set up a consultation and get a plan that fits your needs.







At Aventura Dental Center, we prioritize your dental health. Contact us for comprehensive dental services tailored to your needs. Our experienced team is ready to assist you in Aventura, FL.
Phone
(305) 677-0511